
简介
该用户还未填写简介
擅长的技术栈
可提供的服务
暂无可提供的服务
规范医院安全(不良)事件的主动报告,增强风险防范意识,及时发现医院不良事件和安全隐患,将获取的医院安全信息进行分析反馈,并从医院管理体系、运行机制与规章制度上进行有针对性的持续改进。以“医疗”、“护理”事件为主,包含了全院药品、器械、感染、后勤、公共安全等事件。全院所有人员积极参与,及时上报、职能部门快速处理,及时干预、杜绝安全隐患。统计结果方便导出,统计结果可导出Excel格式,报告内容可导出P

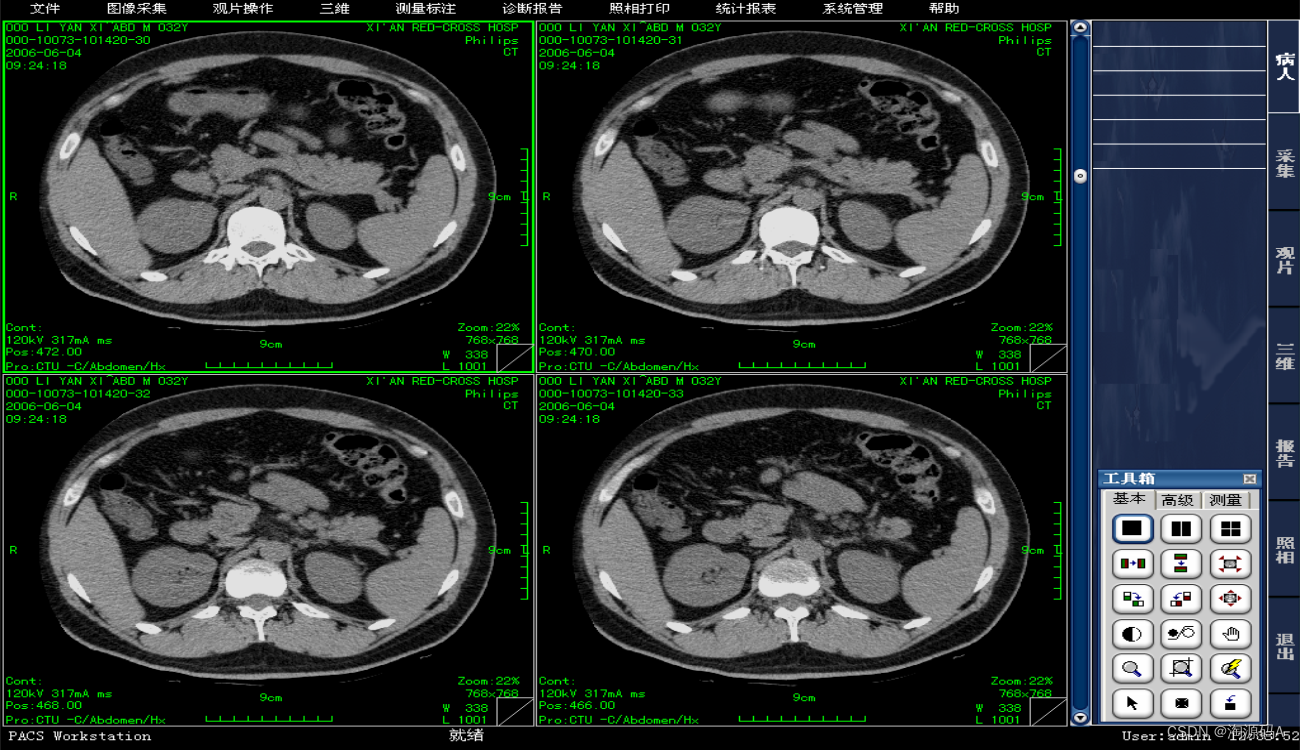
基于VC + MSSQL开发的一套三甲医院医学影像PACS系统源码,集成3D影像后处理功能,包括三维多平面重建、三维容积重建、三维表面重建、三维虚拟内窥镜、最大/小密度投影、心脏动脉钙化分析等功能。支持磁盘库、光盘库等多种存储方式,系统采用双机备份、异地备份、防火墙等多种安全体系,确保数据安全可靠。·提供专业丰富的诊断模板,并可以由医生添加、修改、删除,并可设置使用权限,可设置成医生独用或公用;

全院级PACS系统,应用于放射、超声、内窥镜、病理等影像科室;集成放射科管理RIS系统;支持多种图像处理及三维重建功能;所见即所得的图文报告编辑、打印;完善的报告留痕、历史记录、多级审核机制;完备的综合统计分析,包括工作量、收费、阳性率、学术统计等。可利用各种专业医学图像处理和分析软件进行辅助诊断;

MES系统是制造企业中用于管理和监控生产过程的关键系统,它的核心功能包括生产调度、数据管理、计划排产管理、库存管理、质量管理、设备管理、采购管理、成本管理、项目看板管理。根据车间管理生产分析需求,需覆盖生产、设备、材料、采购、生产、仓库报表等,在速融云 MES 系统,可根据实际业务需求,自动计算生成多维度报表,支持手机和电脑查看管理。数字化线上管理生产计划、组织、控制等,可提升生产资源的优化配置和

智慧工地集人员安全、施工安全、设备安全、物联监测、视觉AI、质量管理、物资管理、进度管理、BI大屏、BIM工厂等服务于一体,赋能现场预防安全生产隐患,降低项目管理和时间成本,信息的全面感知,实现互联互通、协同工作。劳务管理、施工安全管理、视频监控管理、机械安全管理、危大工程监管、现场物料监管、绿色文明施工、安全隐患排查、施工综合管理、施工质量管理、设备管理、系统管理。工种管理、分包商管理、信息采集

一套基于VC + MSSQL开发的PACS系统源代码,系统可实现检查预约、病人信息登记、计算机阅片、电子报告书写、胶片打印、报表统计、数据备份等一系列满足影像科室日常工作的功能,并且由于影像数字化存储,用户可利用影像处理与测量技术辅助诊断、方便快捷地查找资料或利用网络将资料传输至临床科室,还可与医院HIS、LIS无缝连接。集成专业三维影像后处理功能,包括:三维多平面重建、三维容积重建、三维表面重建

医院检验信息管理系统,利用计算机网络技术、数据存储技术、快速处理技术,对检验科进行全方位信息化管理,使检验科达到自动化运行,信息化管理和无纸化办公的目的,从而提升检验科管理水平,降低检验科内各实验室运行成本。该系统实现临床检验信息化,检验信息管理自动化。4.有独有的质控分析、试剂分析,通过采购申请、采购出库、申请出库、月和季盘点、月和季统计等各个环节实时掌握试剂消耗情况。与检验设备即连即用,自由连

手麻系统由监护设备数据采集系统和麻醉信息管理系统两个子部分组成,主要用于病人手术与麻醉的申请、审批、安排,精确记录病人在手术过程中的术中医嘱、术中费用等信息,追踪生命体征等监测数据,如心率、血压、血氧饱和度等,以及对术后医嘱的录入。其次,手麻系统的强大功能在于解决临床工作需求的同时,也解决了科室管理和科研工作的需求,可借其帮助收集临床数据,并对数据进行整合分析和有效挖掘,为围术期临床信息、管理、科

公司的流式细胞仪等。另外,由于网络病毒的影响,对仪器的正常运行也构成了一定的威胁。这两种方式,各有优缺点,一般认为对于复杂逻辑采用后者较好,如果采用异步的方式,则要不断更新状态。另外,和所有的通讯编程一样,因为采用网络接口,其通讯速度非常快,功能也很强大,因此,这种通讯方式往往被用于一些需要进行图片传输的仪器,典型的有:拜尔。由于信息技术的进步,串口通讯也朝高速化方向发展,近年来在个人计算机的快速

智慧工地管理平台是以物联网、移动互联网技术为基础,充分应用大数据、人工智能、移动通讯、云计算等信息技术,利用前端信息采通过人机交互、感知、决策、执行和反馈等,实现对工程项目內人员、车辆、安全、设备、材料等的智能化管理,是信息技术、人工技术与工程施工技术的深度融合与集成,方便项目管理人员掌握相应工地的项目情况,便于项目管理及沟通。系统功能:视频监控系统、人员实名制与分账制管理系统、车辆管理系统、环境








