Answer a question

I am trying to segment lung CT images using Kmeans by using code below:

def process_mask(mask):
    convex_mask = np.copy(mask)
    for i_layer in range(convex_mask.shape[0]):
        mask1  = np.ascontiguousarray(mask[i_layer])
        if np.sum(mask1)>0:
            mask2 = convex_hull_image(mask1)
            if np.sum(mask2)>2*np.sum(mask1):
                mask2 = mask1
        else:
            mask2 = mask1
        convex_mask[i_layer] = mask2
    struct = generate_binary_structure(3,1)
    dilatedMask = binary_dilation(convex_mask,structure=struct,iterations=10)

    return dilatedMask

def lumTrans(img):
    lungwin = np.array([-1200.,600.])
    newimg = (img-lungwin[0])/(lungwin[1]-lungwin[0])
    newimg[newimg<0]=0
    newimg[newimg>1]=1
    newimg = (newimg*255).astype('uint8')
    return newimg


def lungSeg(imgs_to_process,output,name):

    if os.path.exists(output+'/'+name+'_clean.npy') : return
    imgs_to_process = Image.open(imgs_to_process)
    
    img_to_save = imgs_to_process.copy()
    img_to_save = np.asarray(img_to_save).astype('uint8')

    imgs_to_process = lumTrans(imgs_to_process)    
    imgs_to_process = np.expand_dims(imgs_to_process, axis=0)
    x,y,z = imgs_to_process.shape 
  
    img_array = imgs_to_process.copy()  
    A1 = int(y/(512./100))
    A2 = int(y/(512./400))

    A3 = int(y/(512./475))
    A4 = int(y/(512./40))
    A5 = int(y/(512./470))
    for i in range(len(imgs_to_process)):
        img = imgs_to_process[i]
        print(img.shape)
        x,y = img.shape
        #Standardize the pixel values
        allmean = np.mean(img)
        allstd = np.std(img)
        img = img-allmean
        img = img/allstd
        # Find the average pixel value near the lungs
        # to renormalize washed out images
        middle = img[A1:A2,A1:A2] 
        mean = np.mean(middle)  
        max = np.max(img)
        min = np.min(img)
        
        kmeans = KMeans(n_clusters=2).fit(np.reshape(middle,[np.prod(middle.shape),1]))
        centers = sorted(kmeans.cluster_centers_.flatten())
        threshold = np.mean(centers)
        thresh_img = np.where(img<threshold,1.0,0.0)  # threshold the image
       
        eroded = morphology.erosion(thresh_img,np.ones([4,4]))
        dilation = morphology.dilation(eroded,np.ones([10,10]))
        
        labels = measure.label(dilation)
        label_vals = np.unique(labels)
        regions = measure.regionprops(labels)
        good_labels = []
        for prop in regions:
            B = prop.bbox
            if B[2]-B[0]<A3 and B[3]-B[1]<A3 and B[0]>A4 and B[2]<A5:
                good_labels.append(prop.label)
        mask = np.ndarray([x,y],dtype=np.int8)
        mask[:] = 0
       
        for N in good_labels:
            mask = mask + np.where(labels==N,1,0)
        mask = morphology.dilation(mask,np.ones([10,10])) # one last dilation
        imgs_to_process[i] = mask

    m1 = imgs_to_process
    
    convex_mask = m1
    dm1 = process_mask(m1)
    dilatedMask = dm1
    Mask = m1
    extramask = dilatedMask ^ Mask
    bone_thresh = 180
    pad_value = 0

    img_array[np.isnan(img_array)]=-2000
    sliceim = img_array
    sliceim = sliceim*dilatedMask+pad_value*(1-dilatedMask).astype('uint8')
    bones = sliceim*extramask>bone_thresh
    sliceim[bones] = pad_value


    x,y,z = sliceim.shape
    if not os.path.exists(output): 
        os.makedirs(output)
    
    img_to_save[sliceim.squeeze()==0] = 0
    
    im = Image.fromarray(img_to_save)

    im.save(output + name + '.png', 'PNG')

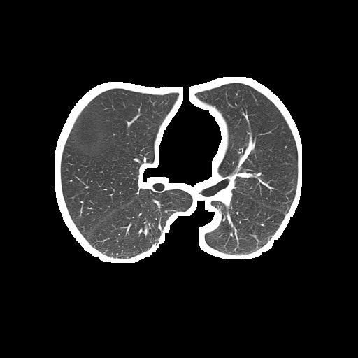
The problem is the segmented lung still contains white borderers like this:

Segmented lung (output):

segmented lung

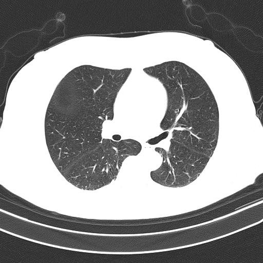
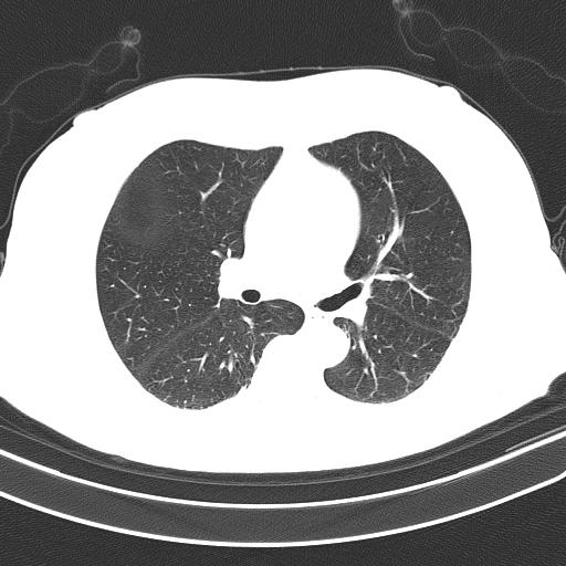
Unsegmented lung (input):

unsegmented lung

The full code can be found in Google Colab Notebook. code.

And sample of the dataset is here.

Answers

For this problem, I don't recommend using Kmeans color quantization since this technique is usually reserved for a situation where there are various colors and you want to segment them into dominant color blocks. Take a look at this previous answer for a typical use case. Since your CT scan images are grayscale, Kmeans would not perform very well. Here's a potential solution using simple image processing with OpenCV:

  1. Obtain binary image. Load input image, convert to grayscale, Otsu's threshold, and find contours.

  2. Create a blank mask to extract desired objects. We can use np.zeros() to create a empty mask with the same size as the input image.

  3. Filter contours using contour area and aspect ratio. We search for the lung objects by ensuring that contours are within a specified area threshold as well as aspect ratio. We use cv2.contourArea(), cv2.arcLength(), and cv2.approxPolyDP() for contour perimeter and contour shape approximation. If we have have found our lung object, we utilize cv2.drawContours() to fill in our mask with white to represent the objects that we want to extract.

  4. Bitwise-and mask with original image. Finally we convert the mask to grayscale and bitwise-and with cv2.bitwise_and() to obtain our result.


Here is our image processing pipeline visualized step-by-step:

Grayscale -> Otsu's threshold

Detected objects to extract highlighted in green -> Filled mask

Bitwise-and to get our result -> Optional result with white background instead

Code

import cv2
import numpy as np

image = cv2.imread('1.png')
highlight = image.copy()
original = image.copy()

# Convert image to grayscale, Otsu's threshold, and find contours
gray = cv2.cvtColor(image, cv2.COLOR_BGR2GRAY)
thresh = cv2.threshold(gray, 0, 255, cv2.THRESH_BINARY_INV | cv2.THRESH_OTSU)[1]
contours = cv2.findContours(thresh.copy(), cv2.RETR_EXTERNAL, cv2.CHAIN_APPROX_SIMPLE)
contours = contours[0] if len(contours) == 2 else contours[1]

# Create black mask to extract desired objects
mask = np.zeros(image.shape, dtype=np.uint8)

# Search for objects by filtering using contour area and aspect ratio
for c in contours:
    # Contour area
    area = cv2.contourArea(c)
    # Contour perimeter
    peri = cv2.arcLength(c, True)
    # Contour approximation
    approx = cv2.approxPolyDP(c, 0.035 * peri, True)
    (x, y, w, h) = cv2.boundingRect(approx)
    aspect_ratio = w / float(h)
    # Draw filled contour onto mask if passes filter
    # These are arbitary values, may need to change depending on input image
    if aspect_ratio <= 1.2 or area < 5000:
        cv2.drawContours(highlight, [c], 0, (0,255,0), -1)
        cv2.drawContours(mask, [c], 0, (255,255,255), -1)

# Convert 3-channel mask to grayscale then bitwise-and with original image for result
mask = cv2.cvtColor(mask, cv2.COLOR_BGR2GRAY)
result = cv2.bitwise_and(original, original, mask=mask)

# Uncomment if you want background to be white instead of black
# result[mask==0] = (255,255,255)

# Display
cv2.imshow('gray', gray)
cv2.imshow('thresh', thresh)
cv2.imshow('highlight', highlight)
cv2.imshow('mask', mask)
cv2.imshow('result', result)

# Save images
# cv2.imwrite('gray.png', gray)
# cv2.imwrite('thresh.png', thresh)
# cv2.imwrite('highlight.png', highlight)
# cv2.imwrite('mask.png', mask)
# cv2.imwrite('result.png', result)
cv2.waitKey(0)
Logo

学AI,认准AI Studio!GPU算力,限时免费领,邀请好友解锁更多惊喜福利 >>>

更多推荐