基于模糊C-means算法的图像分割
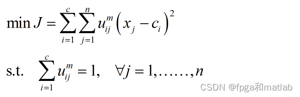
其中,uij为样本xj属于第i类的隶属度,故u是一个c×n的矩阵,xj就是第j个样本数据,ci为第i个聚类中心一共有c个,m则是一个大于1的加权常数一般取2,可由用户定义。模糊聚类分析作为无监督机器学习的主要技术之一,是用模糊理论对重要数据分析和建模的方法,建立了样本类属的不确定性描述,能比较客观地反映现实世界,它已经有效地应用在大规模数据分析、数据挖掘、矢量量化、图像分割、模式识别等领域,具有重
up目录
一、理论基础
模糊c-均值聚类算法 fuzzy c-means algorithm (FCMA)或称( FCM)。在众多模糊聚类算法中,模糊C-均值( FCM) 算法应用最广泛且较成功,它通过优化目标函数得到每个样本点对所有类中心的隶属度,从而决定样本点的类属以达到自动对样本数据进行分类的目的。FCM算法是一种基于划分的聚类算法,它的思想就是使得被划分到同一簇的对象之间相似度最大,而不同簇之间的相似度最小。模糊C均值算法是普通C均值算法的改进,普通C均值算法对于数据的划分是硬性的,而FCM则是一种柔性的模糊划分。
1)分类数不定,根据不同要求对事物进行动态聚类,此类方法是基于模糊等价矩阵聚类的,称为模糊等价矩阵动态聚类分析法。
2)分类数给定,寻找出对事物的最佳分析方案,此类方法是基于目标函数聚类的,称为模糊C均值聚类。
3)在摄动有意义的情况下,根据模糊相似矩阵聚类,此类方法称为基于摄动的模糊聚类分析法
模糊的c均值聚类算法:-------- 一种模糊聚类算法,是k均值聚类算法的推广形式,隶属度取值为[0 1]区间内的任何一个数,提出的基本根据是“类内加权误差平方和最小化”准则;
模糊C 均值聚类算法(FCM,Fuzzy c-means) 是从硬C 均值聚类算法发展而来(HCM,Hardc-means )。
模糊c-均值聚类算法意在求解一个最小化问题即:

其中,uij为样本xj属于第i类的隶属度,故u是一个c×n的矩阵,xj就是第j个样本数据,ci为第i个聚类中心一共有c个,m则是一个大于1的加权常数一般取2,可由用户定义。 在这里每个样本对于不同类的隶属度之和被限制为1,但一般情况下模糊集合的隶属度通常加起来不为1。接下来我们需要把这个条件极值问题转化为无条件的极值问题, 这里用到的方法就是拉格朗日乘子法:


模糊聚类分析作为无监督机器学习的主要技术之一,是用模糊理论对重要数据分析和建模的方法,建立了样本类属的不确定性描述,能比较客观地反映现实世界,它已经有效地应用在大规模数据分析、数据挖掘、矢量量化、图像分割、模式识别等领域,具有重要的理论与实际应用价值,随着应用的深入发展,模糊聚类算法的研究不断丰富。
通过上面的讨论,我们不难看出FCM算法需要两个参数一个是聚类数目C,另一个是参数m。一般来讲C要远远小于聚类样本的总个数,同时要保证C>1。对于m,它是一个控制算法的柔性的参数,如果m过大,则聚类效果会很次,而如果m过小则算法会接近HCM聚类算法。
算法的输出是C个聚类中心点向量和C*N的一个模糊划分矩阵,这个矩阵表示的是每个样本点属于每个类的隶属度。根据这个划分矩阵按照模糊集合中的最大隶属原则就能够确定每个样本点归为哪个类。聚类中心表示的是每个类的平均特征,可以认为是这个类的代表点。
从算法的推导过程中我们不难看出,算法对于满足正态分布的数据聚类效果会很好,另外算法对孤立点是敏感的。
二、核心程序
...........................................................
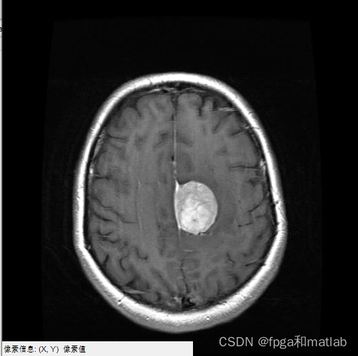
I2 = im2double(imread('FLAIRimage.jpg'));
I2 = imadjust(I);
figure;imshow(I,[]);impixelinfo; % Show Image I
data = [I(:) I2(:)]; % data array
[center,U,obj_fcn] = fcm(data,7);
figure;
plot(obj_fcn);
% Finding the pixels for each class
maxU = max(U);
index1 = find(U(1,:) == maxU);
index2 = find(U(2,:) == maxU);
index3 = find(U(3,:) == maxU);
index4 = find(U(4,:) == maxU);
index5 = find(U(5,:) == maxU);
index6 = find(U(6,:) == maxU);
index7 = find(U(7,:) == maxU);
% Assigning pixel to each class by giving them a specific value
fcmImage(1:length(data))=0;
fcmImage(index1)= 1;
fcmImage(index2)= 0.8;
fcmImage(index3)= 0.6;
fcmImage(index4)= 0.4*0;
fcmImage(index5)= 0.2*0;
fcmImage(index6)= 0.1*0;
fcmImage(index7)= 0.0*0;
...................................................................
up80
三、测试结果
通过matlab2021a仿真结果如下:



更多推荐



所有评论(0)