
简介
该用户还未填写简介
擅长的技术栈
未填写擅长的技术栈
可提供的服务
暂无可提供的服务
从0开始实现通过旋转因子表和反位表实现更快速的FFT快速傅里叶变换
这两天在弄DSP6678,也是知道了FFT还有提前计算旋转因子表和反位表加速计算的方法。DSP里面给了一种实现,本地VS调试代码时没有硬件比较麻烦,就想着自己实现一版。图像IO什么的借了opencv的接口,实际上转化成指针了。下面是相关代码,先草率的写一下,需要的自取。

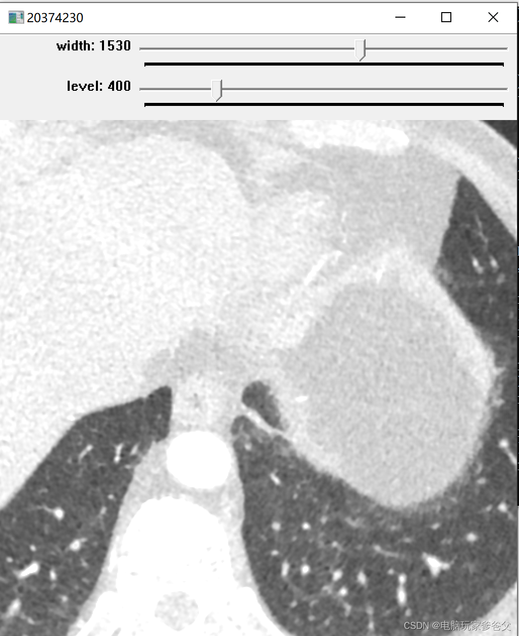
[Opencv]实验:实现窗宽窗位调节(附源码及解析)
使用opencv Mat类,逐像素访问及修改方法,滚动条及鼠标操作,最终实现了窗宽窗位调节。

到底了







